歯科治療の中でも、最先端の治療法と言われるレーザー治療。当医院では炭酸ガス・レ
ーザーを導入しています。 炭酸ガス・レーザーは、治療時に痛みが少なくて済み、不快
な音もなく、振動もありません。そのため、ある程度の治療が麻酔なしで行え、さらには
菌の抑制にも繋がるため、虫歯治療はもとより歯周病全般にも使用されます。口内炎の
治療、歯肉の切開、歯茎の黒ずみを白く、義歯の痛みの軽減、アフター治療 etc…… 特
に初期症状に関してはかなりの効果が期待出来ます。

注:治療内容・方法等は個人の症状によって異なります。

     レーザーで治療が出来る様々な症例

通常の虫歯治療

虫歯治療が行えます。
通常のタービンを回す治療では、歯の健全な部分も削ってしまう恐れがあります。レーザ
ー治療ではピンポイントに患部を治療することが出来ますので、従来よりも正確で安心
の治療が行えます。

治療の際の痛みが少なく、麻酔なしで行えることがあります。また不快な音や振動もない
ので、お子様の方や、歯科治療に恐怖心のある方でも比較的安心して治療を受けること
が出来るでしょう。


歯槽膿漏、歯肉の切開

毎日のブラッシングで磨き残しがあると、歯の隙間や付け根に溜まった食べかすが歯垢
(プラーク)に変わり、やがて唾液中のカルシウム成分と結びついて歯石となります。この
歯石は歯槽膿漏など、歯茎の病気に原因することが多いのです。さらに普段の歯磨きだ
けでは歯石は取ることが出来ません。もしも歯石が溜まってしまうようであれば、定期的
に歯医者さんに取ってもらう必要があるでしょう。その際も痛みや出血は最小に抑えられ
ます。さらに歯茎に一定時間照射することにより、殺菌効果もあり、歯茎を鍛えることに
もなります。

ph1a.jpg
治療前
ph1b.jpg
治療後
また、歯茎が必要以上に多く歯にかぶさってしまって、他の部分に悪影響を与えてしまう
ようなケースでも、悪くなっている部分だけを痛みも少なく切開することが可能です。

歯茎の黒ずみ除去、口内炎、 義歯の痛みの軽減

また、レーザー治療機は審美治療的な効果もあります。
メラニン色素の増殖などで、黒ずんでしまった歯茎に一定時間数回の照射することで、
色素が薄まってきます。
ph2a.jpg
治療前
ph2b.jpg
治療後

口内炎や口角炎などに対しても、一定時間数回の照射で目立たなくなり、やがて完治し
ます。

さらに義歯を装着した際に痛みを感じる場合にも効果があります。

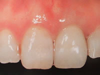
審美的な歯肉形成

今まで審美的歯肉形成は電気メスで行っていました。しかし、治癒後の歯肉の形態が予
知しづらく、アンダー気味に仕上がってしまうことも良くありました。レーザーを使用すれ
ば、照射して仮歯をいれるだけで、患者さんに喜ばれる美しい歯肉形成ができます。

ph3a.jpg
治療前
ph3b.jpg
治療後
これらの他にも知覚過敏症の処置や抜歯後の止血など、さまざまな使い方があります。

お問合せ・ご相談はこちら

診療時間
9:30~13:00/15:00~20:00
休診日
火水曜・日祝・土曜午後

ご不明点などございましたら、
お電話もしくはお問合せフォームよりお気軽にご相談ください。

お電話でのお問合せはこちら

072-724-3729

対応エリア
池田市 川西市 豊能能勢
パソコン|モバイル
ページトップに戻る